Figure 6 of
Karring, Mol Vis 2007;
13:997-1004.
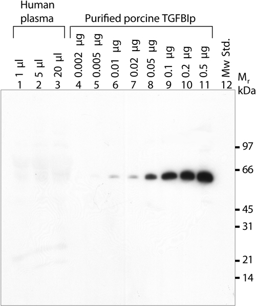
Figure 6. Detection limit of TGFBIp using purified porcine TGFBIp from corneas
The immunoblot shows increasing amounts of albumin/IgG-depleted human plasma and purified porcine TGFBIp (2-500 ng). Lanes 1-3 show increasing amounts of albumin/IgG-depleted human plasma. The indicated volumes refer to the equaling amount of crude plasma. Lanes 4-11 show increasing amounts of purified porcine TGFBIp. The amount of loaded porcine TGFBIp is indicated for each lane. The detection limit is about 10 ng TGFBIp. Lane 12 is the molecular weight standard.
