Figure 2 of Sullivan, Mol Vis 2007; 13:975-980.


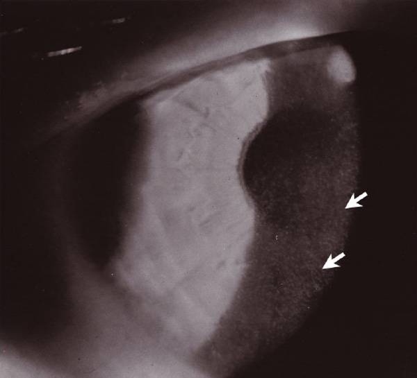
Figure 2. Slit-lamp photograph demonstrating discrete microcysts in the anterior corneal epithelium

Microcysts ranged from clear vesicles to opacified inclusions.

(76 K)

Sullivan, Mol Vis 2007; 13:975-980 <http://www.molvis.org/molvis/v13/a103/>
©2007 Molecular Vision <http://www.molvis.org/molvis/>
ISSN 1090-0535