Figure 3 of
Pauli, Mol Vis 2007;
13:962-967.
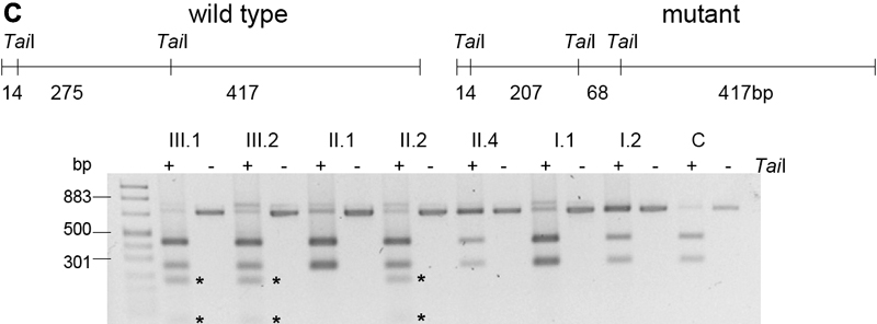
Figure 3. CRYBB2 mutation cosegregates with the disease in the family
A: A partial fragment of the fifth exon of the CRYBB2 gene is given: at sequence position 178 (equal to position 383 in CRYBB2 exon 5, counting the A of the ATG start codon as number 1), the heterozygous situation of the index patient is obvious (red arrow). B: A partial fragment of the corresponding genomic sequence of exon 5 of the CRYBB2 gene is given. The mutated sequence is shown below. The underlined bases (ACGT) define a TaiI restriction site, which is created by the mutation. The amino acid sequence is given below the DNA sequence. The wild-type base and amino acid are given in green and the mutated forms in red. C: A schematic overview of the PCR fragment (706 bp) including exon 5 of the CRYBB2 gene is given. The positions of the TaiI restriction sites are indicated for the wild type and the mutant allele. In the wild-type form there are two major fragments of 275 and 417 bp. In the disease form, the 275 bp fragment is cut again resulting in two smaller fragments of 207 and 68 bp. These smaller fragments (indicated by asterisks) can only be observed in the three affected family members (C, unaffected control; "+", digested fragment; "-", undigested fragment).

