Figure 2 of
Vanita, Mol Vis 2006;
12:518-522.
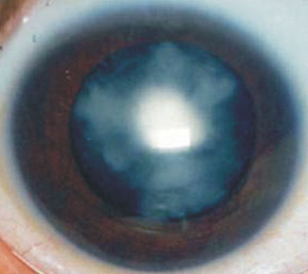
Figure 2.
Lens photograph of a six-year-old patient who had cataract-microcornea syndrome. The opacity appeared as round, oval, or triangular with irregular margins, about 3 mm wide, topped by triangular opacities with base out. The cataract phenotype gives the appearance of a fan.
