Figure 5 of
Shimmura, Mol Vis 2006;
12:478-484.
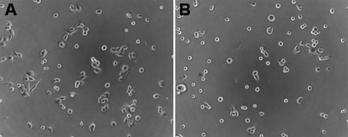
Figure 5.
Rounding of immortalized corneal epithelial cells (HCEC) 3 h following plating in dishes containing medium only (A) and 10 μg/ml murine SPARC (B). Rounding index was significantly higher in cells coincubated with SPARC (C). Original magnification was 10x in A and B.

