Figure 1 of
Ramirez-Miranda, Mol Vis 2006;
12:318-323.
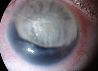
Figure 1. Congenital aniridia associated with severe epithelial keratitis in patient 5
Patient 5 has a corneal pannus affecting the peripheral and central cornea as well as peripheral areas of stromal opacification.
