Figure 4 of
Vieira, Mol Vis 2006;
12:1448-1460.
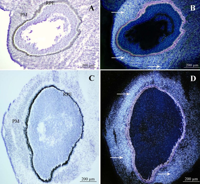
Figure 4. PITX2 gene expression at seven and nine weeks of gestation in ocular tissue sections
Bright-field aspect of PITX2 gene expression in seven weeks of gestation human embryonic ocular tissue sections (A) and corresponding dark-field sections (B). Bright-field (C) and dark-field (D) aspects of PITX2 gene expression pattern in nine weeks of gestation human fetal ocular tissue sections. White arrows mark the specific signals. PITX2 transcripts are detected in the periocular mesenchyme (PM) at both stages. Autofluorescence is shown in the retinal pigment epithelium (RPE; B and D).
