Figure 5 of
Burgess, Mol Vis 2006;
12:1437-1447.
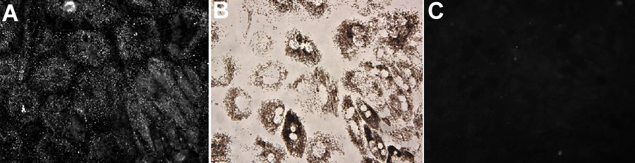
Figure 5. Immunofluorescence staining of cultured rat RPE cells with antibody 204AP
(A) shows staining with 204AP, (B) is brightfield, and (C) is staining with no primary antibody. Original magnification equals to 40x.
