Figure 2 of Chen, Mol Vis 2006; 12:1411-1416.


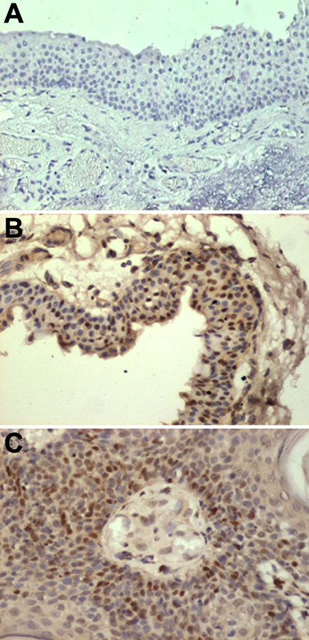
Figure 2.

Representative paraffin sections of pterygia. A: Negative immunostaining. B: Positive immunostaining for p16 protein. C: Positive immunostaining for DNMT3b protein.

(149 K)

Chen, Mol Vis 2006; 12:1411-1416 <http://www.molvis.org/molvis/v12/a159/>
©2006 Molecular Vision <http://www.molvis.org/molvis/>
ISSN 1090-0535