Figure 3 of
Ryan, Mol Vis 2006;
12:1175-1184.
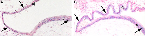
Figure 3.
MiRNAs have varied expression patterns within the epithelium of the anterior segment. A and B: A portion of the adult mouse anterior segmental epithelium processed for in situ hybridization with a digoxygenin-labeled probes for mir-182 (A) and -217 (B). In the corneal (c) epithelium, mir-182 is expressed in the basal, wing and superficial cells (arrows), as well as throughout the limbal (l) and conjunctival (cj) epithelia. In contrast, within the corneal epithelium, mir-217 is expressed primarily in the basal and suprabasal cells (arrows) and not in the superficial cells. Mir-217 is also expressed in the limbal (l) and conjunctival (cj) epithelia.
