Figure 1 of
Perra, Mol Vis 2006;
12:1136-1142.
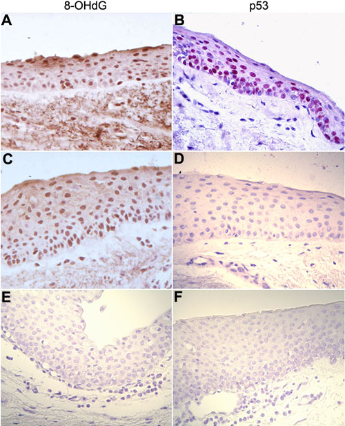
Figure 1.
Immunohistochemical study of adjacent sections of pterygium from different patients.A and B: 8-OHdG+/p53+ in patient number 19; C and D: 8-OHdG+/p53- in patient number 25; E and F: 8-OHdG-/p53- in patient number 5. 8-OHdG and p53 expression was limited to the nuclei of the epithelial layer. No differences in the pattern of staining between 8-OHdG and p53 were observed. No substantial staining was visible in the subepithelial connective tissue. Original magnification was 400x.
