Figure 6 of
Ohno-Matsui, Mol Vis 2006;
12:1022-1032.
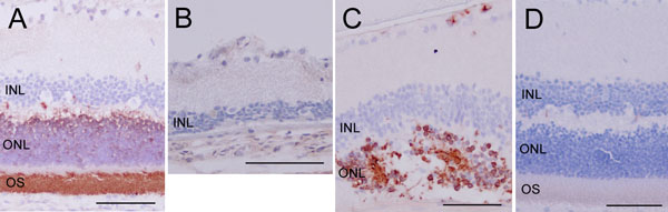
Figure 6.
Immunoreactivity for rhodopsin after subretinal transplantation of IPE cells cultivated on AM in RCS rats. A: A 4-month-old nondystrophic RCS rat showing intense rhodopsin immunoreactivity in OS as well as some nuclei in ONL. B: Sham-operated RCS rat 3 months postoperative showing an absence of rhodopsin immunoreactivity. C: Photomicrograph of retina from a RCS rat 3 months after the transplantation of IPE cell sheet grown on an AM showing rhodopsin immunoreactivity in ONL. D: Rhodopsin staining is absent in a 4-month-old nondystrophic RCS rat when nonimmune serum was substituted for primary antibody. All sections were counterstained with H&E. The scale bars represent 50 μm.
