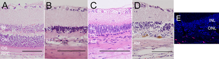
Figure 5 of
Ohno-Matsui, Mol Vis 2006;
12:1022-1032.
Figure 5.
Anatomical rescue of photoreceptors after subretinal transplantation of IPE cells cultivated on AM in RCS rats. A: A 4-month-old nondystrophic RCS rat showing full ONL thickness. B: Sham-operated RCS rat 3 months postoperative showing complete loss of the ONL; there is also disruption of the INL. C: Photomicrograph of retina from a RCS rat 3 months after the transplantation of AM without IPE cells showing a slight rescue of the ONL. D: Photomicrograph of retina from a RCS rat 3 months after the transplantation of IPE cell sheet grown on an AM showing a significant preservation of the ONL. Transplanted IPE cells with heavy pigmentation are recognized on the AM. Sections A through C were stained with H&E. E: Transplanted IPE cells prelabeled with CM-DiI (red). Nuclei are stained with Cytox blue (blue). In the images, INL indicates inner nuclear layer; ONL is outer nuclear layer; OS marks the outer segments; RPE indicates the retinal pigment epithelium; and AM marks the amniotic membrane. The scale bars represent 50 μm. F: Maximum thickness of photoreceptor in RCS rats at 16 weeks of age. The data are from 6 rats in each group. Dystrophic, untreated dystrophic RCS rats; sham, dystrophic rats that received sham-injection; AM only; dystrophic rats that received subretinal transplantation without IPE cells; IPE cell sheet, dystrophic rats that received subretinal transplantation of IPE cell sheet on AMs; and non-dystrophic, non-dystrophic control. Measurements were made along the vertical meridian. Error bars, SD. The asterisk shows a significant statistical difference (p<0.05, Mann-Whitney analysis) in the maximum ONL thickness between rats receiving transplantation of IPE cell sheet over AMs and animals receiving transplantation of AM only. There is also a significant difference between animals receiving sham surgery and rats receiving transplantation of IPE cells sheet cultured on AMs. There is no significant difference between untreated rats and those receiving transplantation of AM only.

