Figure 7 of
Warejcka, Mol Vis 2005;
11:859-868.
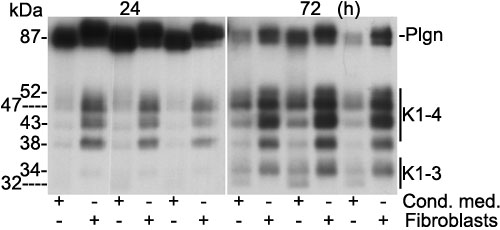
Figure 7. Corneal stromal fibroblast conditioned medium and the fibroblasts produce similar angiostatins
Plasminogen was incubated for 24 and 72 h in the presence of 24 h stromal fibroblast conditioned medium or stromal fibroblasts. The medium was separated by SDS-PAGE and transferred to nitrocellulose. The blot was probed with two antibodies to K1-3 of plasminogen.
